Ir o contido principal
STG

Ata onde chega o fino cheiro dos cans?

Irene Ortiz Leal, nun laboratorio do grupo de Morfoloxía Animal de Veterinaria
Irene Ortiz Leal, nun laboratorio do grupo de Morfoloxía Animal de Veterinaria
A investigadora do grupo de Morfoloxía Animal da Facultade de Veterinaria da USC Irene Ortiz Leal revela nun estudo sobre o órgano vomeronasal do raposo publicado na revista ‘Journal of Anatomy’ que o grao de desenvolvemento do sistema olfactivo dos cans é moito máis limitado que o dos cánidos salvaxes
Lugo

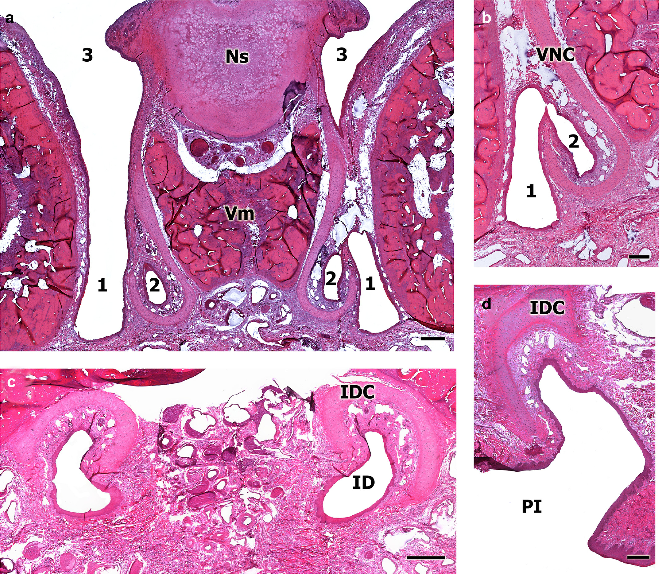
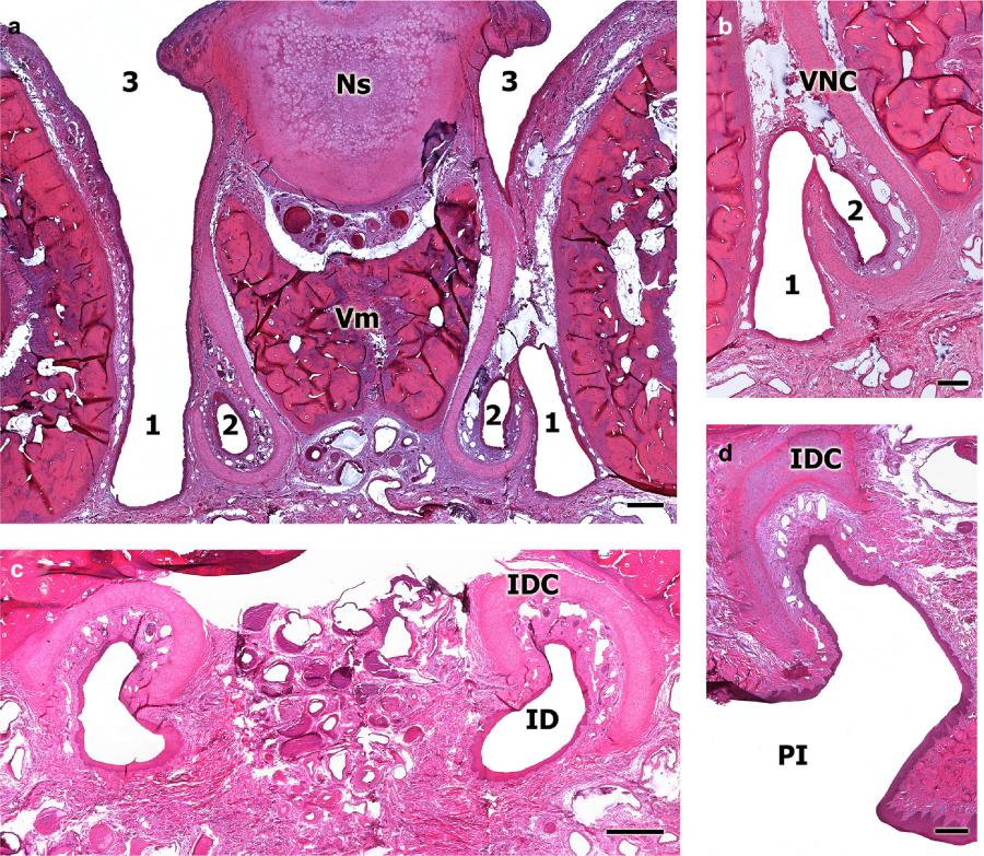
O olfacto é un dos sentidos máis aguzados dos cans, aínda que o seu grao de desenvolvemento podería estar máis limitado do que se pensa, segundo constata o artigo ‘The vomeronasal organ of wild canids: the fox (Vulpes vulpes) as a model’, que vén de publicar a investigadora do grupo de Morfoloxía Animal (Morfan) da Facultade de Veterinaria do Campus de Lugo da USC Irene Ortiz Leal en ‘Journal of Anatomy’, unha das revistas de Anatomía máis importantes do mundo que está editada pola Sociedade Anatómica de Gran Bretaña e conta xa con 153 anos de historia.

A publicación de Ortiz Leal, que se encadrada no marco da súa tese de doutoramento, achega luz sobre as particularidades do sistema vomeronasal dos cánidos salvaxes a partir dun estudo no que toma como modelo o raposo, unha especie popular no medio rural galego que, dada a súa condición de alimaña, antóllase como o animal ideal para poder valorar os efectos da domesticación de cánidos salvaxes no desenvolvemento do seu sistema vomeronasal.

Alén de caracterizar por vez primeira vez o sistema vomeronasal  do raposo, un órgano sobre o que existe máis descoñecemento que literatura científica, as pescudas desenvolvidas por Ortiz Leal permiten constatar que o sistema olfactivo dos raposos presenta un grao de desenvolvemento moi superior ao dos cans a nivel xeral, pero sobre todo, no que se refire ás súas particularidades neuroquímicas.

As conclusións deste estudo espertan asemade certa sorpresa, cando non polémica, entre a comunidade científica, dado que a pesar da gran importancia que de sempre se atribuíu á capacidade de cheiro dos cans, o desenvolvemento do seu sistema vomeronasal semella ser bastante limitado. Daquela, a publicación de Ortiz Leal deixa entrever que ao longo da evolución da especie, o seu proceso de domesticación produciu certa involución do sistema vomeronasal dos cans.

Cairomonas

A liña de investigación na que traballa Ortiz Leal presenta tamén interese aplicado relacionado co uso das cairomonas que liberan os rapsosos nas secrecións das súas glándulas. Estas substancias químicas desprendidas polo raposo actúan como sinais de alarma para as súas presas, que son capaces de detectalas a través do seu respectivo órgano vomeronasal, engade a investigadora.

A identificación das cairomonas que libera este cánido salvaxe nas secrecións das súas glándulas abre camiño ao futuro emprego de compostos presentes nos ouriños do raposo para o control de pragas propias de Galicia, segundo se sinala na primeira publicación científica derivada da tese desta titulada en Veterinaria e Farmacia.

A madrileña Irene Ortiz Leal figura como primeira asinante do artigo sobre o sistema vomeronasal do raposo publicado no último número da revista Journal of Anatomy, un estudo que inclúe unha ilustración específica realizada pola alumna de Veterinaria Jennifer Ríos Camaño, e no que tamén colaboraron outros investigadores do grupo de Morfoloxía Animal da USC, coordinado por Pablo Sánchez Quinteiro, ademais da profesora Ana López Beceiro, da Unidade de Cirurxía da Facultade de Veterinaria.

 

Os contidos desta páxina actualizáronse o 02.12.2020.