Ir o contido principal
STG

Estudan a morfoloxía do hipotálamo nos seres vivos a partir do melgacho

Detalles dun embrión de melgacho e dun exemplar novo
Detalles dun embrión de melgacho e dun exemplar novo
Unha tese estuda como a xenética inflúe na morfoloxía do cerebro deste tiburón para comparalo co que sucede noutras especies animais

Máis alá das acepcións e metáforas que se podan construír arredor deles, humanos e tiburóns comparten afinidades, ambos son gnatóstomos, un dos grupos máis ancestrais dos vertebrados mandibulados. Este é un dos motivos polos que Gabriel N. Santos Durán estudou na súa tese de doutoramento o desenvolvemento e evolución do hipotálamo usando como modelo o melgacho ou ‘ pintarroja’. Concretamente, utilizou unha aproximación xenoarquitectónica comparando os datos do melgacho cos doutros vertebrados. A análise revela cómo os mesmos elementos combinados de distinta forma ao longo da evolución condicionan morfoloxías diferentes nos seres vivos e, en opinión do investigador, axuda a avanzar na compresión de por qué organismos vivos chegan a ser diferentes a pesar de posuír xenes similares.

Os resultados da tese, cualificada con sobresaliente cum laude, apunta variacións na distribución espacial dos elementos que conforman a anatomía cerebral. “Isto é importante porque se a combinación espacial de xenes non é a mesma, as propiedades morfoxenéticas do hipotálamo ao longo da súa evolución serán diferentes”, explica Gabriel Santos Durán. Á vista dos resultados recompilados, Santos Durán sinala que “a distribución dos xenes no espazo –neste caso, na cabeza- engade un grao de variabilidade que se manifestará na evolución do ser vivo en cuestión difícil de identificar na secuencia de xenes”.

O investigador xustifica o estudo concreto do hipotálamo pola súa importancia para os seres vivos, “unha estrutura clave para os vertebrados xa que está implicada na elaboración de respostas fundamentais para a supervivencia do individuo (beber, comer, regular a temperatura,...) e das especies (apareamento, coidado parental ou defensa do territorio, entre outras)”. O estudo a partir do melgacho deriva da súa consideración como “un modelo emerxente que representa os vertebrados basais e complementa en vantaxes o pez cebra, o modelo de pez comunmente utilizado en biomedicina e neurociencias”. Ademais caracterízase por un desenvolvemento embrionario lento, de entre seis e oito meses, fronte os tres días do peixe cebra, “o que permite facer unha análise máis detallada do proceso”.

Brainshark
O traballo de Gabriel Santos Durán inclúese na actividade do grupo de investigación da USC Brainshark, que estuda a evolución do sistema nervioso baixo o enfoque ‘evo-devo’ (do inglés ‘ evolutionary development biology’), usando como organismo modelo o tiburón Scyliorhinus canicula. A aproximación ‘evo-devo’ sostén que as claves para entender tanto a anatomía dun órgano como a súa evolución están no seu desenvolvemento embrionario. “Visto doutro modo –explica Gabriel Santos- se os organismos chegan a ser diferentes é porque o seu desenvolvemento é diferente, entre outras razóns. Por un lado, os xenes implicados no desenvolvemento condicionan a formación da estrutura adulta e, por outro lado, ao longo da evolución, existen diferenzas nos xenes expresados durante o desenvolvemento que condicionan as diverxencias observadas nas estruturas adultas”.

A partir deste enfoque, o grupo que coordina a profesora Eva Candal Suárez estuda a expresión de xenes implicados no desenvolvemento do cerebro do melgacho, tales como factores de transcripción e moléculas sinalizadoras, comparándoas coas doutras especies. Gabriel Santos explica que “estes xenes determinan propiedades morfoxenéticas, proliferación, migración e diferenciación celular do cerebro en formación”. O traballo que desenvolve o equipo da USC mantén unha colaboración neste eido co grupo liderado pola investigadora Sylvie Mazán, do Instituto de Ciencias Biolóxicas do CNRS (París), que se encarga da secuenciación do xenoma do melgacho e apoia coa identificación de xenes homólogos noutros vertebrados.

A tese de doutoramento de Gabriel Santos Durán, dirixida por Eva Candal e Isabel Rodríguez-Moldes levaba por título ‘Development and evolution of the vertebrate hypothalamus: evidences in chondrichthyans’. Aínda que centrada nun aspectos concreto da anatomía do cerebro e condicionado polos límites do modelo animal empregado, o doutor Santo considera que o estudo transcende estas fronteiras xa que “entender a evolución do cerebro é importante para entender a diversidade biolóxica e a complexidade do sistema nervioso, o que pode resultar de suma importancia para outras áreas científicas”.

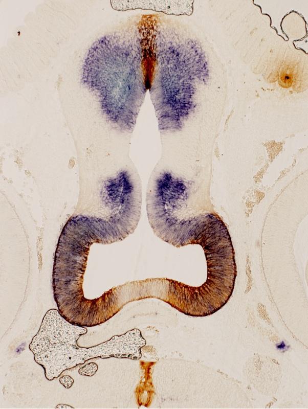
O traballo de Gabriel Santos atópase incluído nas liñas de investigación do grupo Brainshark Sección transversal do cerebro embrionario dun melgacho que mostra a expresión do xen ScDlx2 (azul) e Shh (castaño/laranxa/roxizo)

Os contidos desta páxina actualizáronse o 14.01.2016.